
سنيناتي رجعو كيشعلوو وتهنيت من الكالكير والرائحة الكريهة بمكون موجود فكل المنازل
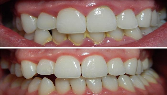
جير الاسنان و هو ما يتسبب في اصابتها بالاصفرار هو عبارة عن رواسب غير عضوية تتراكم على الاسنان بسبب بداية اللعاب ثم الاطعمة و المشروبات التي يتم تناولها مع عدم الاهتمام بغسل الاسنان بشكل منتظم و العناية بها فيؤدي ذلك الى اصابة اللثة بالامراض و ظهور الفم و الاسنان بمظهر سئ , كذلك يمكن ان يتسبب في ظهو رالرائحة الكريهة للفم , تعتبر بالطبع افضل الطرق و اكثرها فاعلية هى التوجه للطبيب كي يقوم بعملية التنظيف للاسنان الا انه يمكن اتباع بعض الطرق في المنزل بشكل دوري و هى تساعد في التخلص من طبقات الجير التي تتكون مما لا يسمح بتراكم طبقات متتالية من الجير مما يحافظ على الاسنان و صحة الفم بشكل عام , لكن هذه الطرق تساعد في التخلص من الجير الظاهر المرئي و الذي يوجد على طبقة مينا الاسنان و فوق خط اللثة اما الجير المختفي تحت اللثة فيصعب على الطرق المنزلية الوصول اليه و هنا يجب اللجوء الى الطبيب للقيام لعملية التنظيف .
وصفة طبيعية بزيت الزيتون:
قومي بفرش اسنانك بزيت الزيتون لمدة 10 دقائق 3 مرات في اليوم ،فهو يعمل على تقوية اللثة ومنع نزيفها، حيث يحتوي زيت الزيتون على فيتامين E الذي يعمل على إزالة الجير من الأسنان ومنع ترسبه من جديد، إضافة إلى أنه يعمل على قتل البكتيريا التي تتعلق بالفم نتيجة تراكم الأطعمة.